GEILENKIRCHEN – Prophylaktische Maßnahmen haben in Deutschland zu einer deutlichen Reduktion der Karies geführt. Nichtsdestotrotz ist der Therapiebedarf bei Milchzahnkaries nach wie vor sehr hoch. Therapeutisches Ziel ist es, Milchzähne möglichst bis zum Durchbruch der Permanentes zu erhalten. Verschiedene Therapieverfahren werden empfohlen. Nach Darstellung der wichtigsten Therapieformen wird die endodontische Milchzahntherapie in der Autorenpraxis beschrieben und analysiert.
Trotz öffentlicher Aufklärung und zahnärztlicher Prophylaxebemühungen führt Karies häufig zum vorzeitigen Verlust von Milchzähnen. Verschiedene Faktoren beeinflussen die Kariesprävalenz, als da sind sozialer Status des Elternhauses, Motivmuster zahnärztlicher Inanspruchnahme – beschwerdegesteuert (Neue Bundesländer 11,3%) oder prophylaxeorientiert (Neue Bundesländer 87,1%) – Pflegeverhalten (Zähneputzen), Fluoridierungsmaßnahmen, Ernährungsverhalten (kohlenhydratreiche Speisen und Getränke), Kooperationswilligkeit. In Deutschland wiesen 1994/95 zwischen 20% und 45,9% der Schulanfänger naturgesunde Milchzähne auf, 2004 zwischen 34,9% und 59,6%.
Kinder mit kariösen Milchzähnen entwickeln einen vierfach höheren Kariesbefall im permanenten Gebiss als Kinder mit kariesfreien Milchzähnen. Ein vorzeitiger Milchzahnverlust zieht eine Mesialdrift permanenter Zähne mit Malokklusion nach sich, wenn auch der Verlust der Schneidezähne bezüglich einer Platzhalterfunktion von geringer Bedeutung ist. Jedoch spielt der Schneidezahnerhalt eine Rolle für Phonetik, Ästhetik und Selbstwertgefühl des Kindes. Der Erhalt der Eckzähne und Molaren dient der Platzhalterfunktion, der Kaufunktion und dem Erhalt der Stützzonen. Das Ziel einer endodontischen
Behandlung von Milchzähnen ist die Retention der betreffenden Zähne für einen begrenzten Zeitraum. Als Behandlungserfolg ist zu verbuchen, wenn der Zahn symptomlos bleibt und eine normale Wurzelresorption
vonstatten geht.
Laut Stellungnahme der DGZMK zur Endodontie im Milchgebiss 2002 ist die Grenze für zahnerhaltende Behandlungsverfahren erreicht, wenn ein Drittel der Wurzellänge resorbiert ist. Aufwendige endodontische Maßnahmen sind nur angezeigt, wenn die Prognose des Zahnerhalts zumindest bis
zum frühestmöglichen Extraktionstermin (ca. 2 Jahre vor dem physiologischen Ausfall) günstig ist. Das korrespondiert mit einem Kindesalter von 4 Jahren für die Milchfrontzähne und zwischen 7 und 9 Jahren für die Milchmolaren.
Patientenfall 1: Alter des Patienten: 11 Jahre; 19. Juni 1992: Gangrän an 85, Behandlung in einer Sitzung mit abschließender Cavitheber-Fistulation.
Abb. 1-2, 1. Reihe, v. l. n. r.: 19.6. 1992 vor Behandlung; 19.6.1992 Kontrolle der (unvollständigen) Wurzelkanalfüllung;
Abb. 3-4, 2. Reihe, v. l. n. r.: 19.6.1992 Cavitheber-Fistulation interradikulär durch die Schleimhaut, 12.10.1993 Röntgenkontrolle nach 16 Monaten.
Das Belassen unbehandelter nekrotischer Milchzähne, nur trepanierter oder heruntergeschliffener
Zähne ist keine Lösung. Solche Zähne sollten extrahiert werden, um Schmelzdysplasien an Permanentes (Turner-Zähne) zu vermeiden. In Tierversuchen an Affen und Hunden war eine zehnprozentige Inzidenz von Schmelzbildungsstörungen an Permanentes nach infizierter Nekrose der vorangehenden Milchzähne zu verzeichnen. Am ehesten ist mit einer Schädigung der Zahnkeime
zu rechnen, wenn die Kronenbildung noch nicht abgeschlossen ist. Laut DGZMK bergen die unbehandelten gangränösen Milchzähne die Gefahr von Exazerbationen und rezidivierenden Abszedierungen in sich.
Ein wertvolles Hilfsmittel in der Milchzahnendodontie stellt die Röntgendiagnostik dar. Das Röntgenbild (Zahnfilm, OPG) ist zu interpretieren auf Ausdehnung der Karies, periapikale und furkale Veränderungen, interne und externe Resorptionen, Stand der Wurzelresorption sowie Nichtanlage permanenter Zähne.
Laut einer früheren DGZMK-Stellungnahme ergeben sich Probleme mit den Röntgenaufnahmen. Angesprochen werden hier Überlagerungen der apikalen Region durch den Zahnkeim der 2. Dentition und kooperationsbedingte Probleme bei deren Anfertigung. Die Autorin Butz weist darauf hin, dass die
röntgenologische Diagnostik erschwert ist durch normale physiologische Resorptionsprozesse, die pathologischen Veränderungen ähneln.
– Kontraindikationen zur Milchzahnendodontie
– Systemische Erkrankungen
– Immundefizite
– Herzpathologien
– Stark vernachlässigtes Gebiss
– Erhöhter Lockerungsgrad
– Interne und externe Resorptionen
– Nicht restaurierbare Zahnkrone
– Wurzelresorption mehr als ein Drittel
– Bevorstehender Zahnwechsel.
Das gängigste endodontische Verfahren in der Milchzahnendodontie ist die Pulpotomie. Diese wird angewandt bei kariöser, iatrogener oder traumatischer Eröffnung der Pulpa. Eine Voraussetzung ist nach DGZMK klinische Symptomlosigkeit. Gemäß UK-Leitlinie und Weisshaar ist diese Voraussetzung auch noch erfüllt bei vorübergehenden Beschwerden oder kurzem Spontanschmerz.
Bei anamnestisch starken Schmerzen ist wie bei nekrotischer Pulpa (Fistel) unter Beachtung der oben angegebenen Kontraindikationen eine Wurzelkanalbehandlung angezeigt. Tritt nach Ausräumung des Pulpenkavums bzw. beim Eindringen in die Wurzelkanäle eine stärkere Blutung auf, so muss diese zunächst gestillt werden, bevor eine Wurzelkanalfüllung (WF) eingebracht wird, und zwar als alleinige Pastenfüllung, damit Wurzelresorption und WF-Resorption in etwa parallel verlaufen. Angestrebt
wird es, die WF 1–2 mm vor dem radiologischem Apex enden zu lassen.
Für die Pulpotomie und Pulpektomie sind verschiedene Materialien in Gebrauch. Für die Pulpotomie ist das Standard-Präparat nach wie vor Formokresol (19% Formaldehyd, 35% Kresol, 15 % Glycerin, 31%
Aqua dest.) – evtl. in Verdünnung 1:5. Weisshaar führt eine Studie an, wonach 1989 in Kanada 92,4% und weltweit 76,8% der Kinderzahnärzte Formokresol für die Pulpotomie einsetzen. Obwohl in mancherlei Hinsicht Bedenken gegen die Anwendung von Formaldehyd-Präparaten geäußert werden, beurteilen Tagger & Tagger die Formokresol-Pulpotomie mit den Worten, dass diese dem Milchzahn
Zeit kaufe und gegenwärtig jede andere verfügbare Methode übertreffe.
Glutaraldehyd schien in einigen Versuchen ein dem Formokresol gleichwertiges Ersatzmaterial zu sein, konnte sich aber nicht durchsetzen. Zum anscheinend hoffnungsvollsten Material entwickelt sich MTA, wenn auch für den Praktiker derzeit zu teuer.
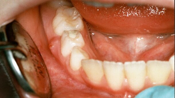
Patientenfall 2: Alter der Patientin: 13 Jahre; 11. April 1995: Gangrän an 84 mit Fistel.
Abb. 1-2, v. l. n. r.: 84 vor Mortalamputation am 11.4.1995, 84 nach Mortalamputation am 11.4.1995.
Abb. 3-5, v. l. n. r.: 11.4.1995: 84 Fistel vor Behandlung; Starke Blutung der Pulpa; 84 Kavität vollständig mit N2 aufgefüllt; 17.4.1995: Fistel verschwunden. N2 z.T. aus Kavität gekratzt zwecks Füllung (nach Angaben der Mutter sei die Fistel bereits 1 Tag nach Mortalamputation verschwunden).
In der DGZMK-Stellungnahme von 2002 wird Ca(OH)2-Pulpotomie nahegelegt. Die britische Leitlinie aus dem Jahr 2006 beurteilt dieses Verfahren als sehr ungünstig. Darüber hinaus hebt die UK-Leitlinie die Pulpotomiebehandlung mittels 15,5% Eisensulfat (Astringedent) der 5-Minuten-Formokresol-
Pulpotomie als ebenbürtig hervor, wobei Eisensulfat allerdings nur der Blutstillung dient, indem dieses für 15 Sekunden auf die blutenden Pulpastümpfe appliziert wird. Danach wird das Pulpenkavum
wieder von Eisensulfat gereinigt und Zinkoxid-Eugenol direkt auf die Wurzelkanäle eingebracht. In der Leitlinie wird eine Studie angeführt, die nach dieser Pulpotomiemethode radiologisch zu 55 % interne Resorptionen (ähnlich wie nach Ca(OH)2) und zu 71 % Kanalobliterationen demonstriert. In einer Meta-Analyse von 11 Studien, die einen Vergleich Formokresol zur Eisensulfat-Pulpotomie zum Ziel hatten, stellten Peng et al. gleichwertige Ergebnisse fest. Die Eisensulfat-Pulpotomien zeigten einen
klinischen Erfolg von 78–100% und einen radiologischen Erfolg von 42–97 %. Voraussetzung für die Aufnahme in die Analyse war ein Verbleib der Zähne in situ von mindestens 12 Monaten, sodass frühzeitige Misserfolge nicht in die Basis-Studien eingingen.
Nach Einwag unterscheidet sich die klinische Erfolgsrate einer N2-Pulpotomie mit 90–100% Erfolg nicht vom Erfolg der 5-Minuten-Formokresol-Technik, was aufgrund ähnlicher Zusammensetzung nicht verwundere. Das N2-Pulver enthielt bis 1998 7% Formaldehyd. In der EU-Zertifizierung vom 14. Juni
1998 wurde der Formaldehydgehalt auf 5% reduziert.
Bürkle spricht von einer geringen Techniksensivität und guten klinischen Erfolgen bei sämtlichen aldehydhaltigen Materialien wie Formokresol, Glutaraldehyd und N2.
Die Autoren Heinrich-Weltzien und Krämer stellen die Ergebnisse einer Befragung nach Anwendung der Pulpotomieverfahren tabellarisch zusammen. Es zeigen sich Unterschiede zwischen Universität und Praxis. Bei den Universitäten liegt Calxyl mit über 70% weit vorn. In der Praxis findet Calxyl nur halb so oft Anwendung. In den Praxen liegen Calxyl und die Eisensulfatmethode in der Anwendungshäufigkeit in etwa auf gleicher Höhe. N2 wird in den Universitäten als Pulpotomiemittel nicht mehr geführt und ist in den Praxen noch mit ca. 5% vertreten. Für die Wurzelkanalfüllung werden Jodoform- und Ca(OH)2-Pasten bevorzugt. Weiterhin werden Zinkoxid-Eugenol-Pasten mit und ohne Formaldehydzusatz eingesetzt.
Material und Methode
Voraussetzung für eine Behandlung war Restaurierbarkeit der betroffenen Zähne. Als Ausschlusskriterium galt eine erhöhte Mobilität, nicht jedoch eine fortgeschrittene Wurzelresorption.
Die in diesem Sinne ausgeführten endodontischen Maßnahmen der Jahre 1992–1998 wurden erfasst. Röntgenaufnahmen lagen regelmäßig nur vor bei der Mortalamputation und Wurzelkanalbehandlung
gangränöser Milchzähne. Letztere wurden möglichst auch einer sog. „Follow-up“-Röntgenaufnahme
zugeführt.
Vitalamputationen (= Pulpotomien), Mortalamputationen und Wurzelkanalfüllungen wurden unter relativer Trockenlegung mit dem Wurzelkanalfüllmittel N2 vorgenommen. Für die Wurzelkanalfüllung wurde das N2-Pulver mit N2-Flüssigkeit zu einer sahnigen Konsistenz angemischt, welches nach manueller Reamer- oder nach maschineller HERO-6,4,2-Aufbereitung apexnah abgefüllt wurde.
Für eine Vital- oder Mortalamputation wurde das N2 zu einer relativ festen Konsistenz angemischt. Tief kariöse Defekte wurden zunächst mit einem Exkavator „ausgeschält“. Dann wurde die restliche Karies wie bei mittleren Defekten mit einem dicken Rosenbohrer ohne Wasserkühlung zügig exkaviert. Die Kavitätenpräparation mit Elimination der koronalen Pulpa erfolgte anschließend mit der Turbine. Häufig blutete die Restpulpa aus den Kanälen. Einer geringen Blutung wurde keine Beachtung geschenkt. Bei stärkerer Blutung wurde für wenige Minuten festes N2 in die Kavität gebracht, welches dank Formaldehyd die Blutung schnell zum Stehen brachte. Das mit Blut durchsetzte N2 wurde wieder
aus der Kavität entfernt und durch frisch angemischtes, festes N2 ersetzt.
Die Mortalamputationen entfielen z.T. auf Devitalisationsbehandlungen, z.T. auf die Behandlung gangränöser Zähne. Die Behandlung devitalisierter Zähne verlief wie die Pulpotomiebehandlung vitaler Zähne. Gangränöse Zähne wurden nach verschiedenen Methoden behandelt. Einfache Mortalamputationen wurden analog dem Vorgehen bei der Vitalamputation durchgeführt. Wurzelkanalfüllungen, die z.T. vollständig, z.T. unvollständig waren, wurden als reine Pastenfüllung vorgenommen. Teilweise wurden sie mittels artifizieller Fistulation abgeschlossen. Diese erfolgte interradikulär meistens mittels Cavitheber durch die Schleimhaut, in geringer Fallzahl nach Abschieben der Schleimhaut mittels Turbinenbohrer. Alle endodontischen Maßnahmen wurden inklusive Füllung in einer einzigen Sitzung ausgeführt. Eine 2-sitzige Behandlung wurde nur in folgenden Fällen notwendig: bei massiver Blutung, bei Notwendigkeit einer adhäsiv befestigten Füllung, in Zusammenhang mit einer
Devitalisation. In den beiden erstgenannten Fällen wurde nach N2-Applikation die Kavität mit überschüssigem N2 oder mit Zinkoxid-Eugenol aufgefüllt. Das zeitsparendste Vorgehen
war stets die N2-Applikation und sofortiger Verschluss der Kavität mit Amalgam ohne Unterfüllung.
In Ausnahmefällen dienten Stahlkronen der definitiven Restauration.
Ergebnisse
Im untersuchten Zeitraum 1992–1998 wurden insgesamt 559 Milchzähne endodontisch behandelt, davon 38,6% durch den Autor selbst. 460 Milchmolaren-Behandlungen entfielen auf Pulpotomien, 29 auf eine Toxavit-Devitalisation mit folgender Mortalamputation. 70 gangränöse Milchmolaren wurden behandelt
– davon 37 mittels einfacher Mortalamputation. In 22 Fällen schloss sich der WF oder Mortalamputation eine artifizielle Fistulation (= Schröder’ Lüftung) an. 11 gangränöse Milchmolaren erfuhren eine Wurzelkanalbehandlung ohne Fistulation. Das Durchschnittsalter der Patienten bei Erbringung der Pulpotomien wurde wie folgt ermittelt:
– 1. Molar Oberkiefer 7 Jahre, 6 Monate
– 2. Molar Oberkiefer 7 Jahre, 5 Monate
– 1. Molar Unterkiefer 6 Jahre, 6 Monate
– 2. Molar Unterkiefer 6 Jahre, 6 Monate
11,8% (n=66) der kleinen Patienten erschienen nach der endodontischen Behandlung nie mehr in der Praxis. Somit verblieben der Praxis 88,2% (n=493) zur Nachbeobachtung. Ein klinischer Misserfolg (Schmerzen, Schwellung, Fistel) wurde im Laufe der Beobachtungszeit zu 5,7% (n=28) registriert. 78,6%
(n=22) der Misserfolge traten innerhalb von 23 Monaten post Behandlung ein – darunter ein Fall wenige Stunden nach einer Devitalisations-Mortalamputation. 76,1% (n=54) der Extraktionen fielen 24 Monate und später post Behandlung an. Durchbruchsstörungen oder Schmelzschäden an den nachfolgenden
Permanentes wurden nicht beobachtet.
Bei zusammenfassender Betrachtung der Vitalamputationen vs. Behandlung gangränöser Zähne fällt auf, dass bei den nekrotischen Zähnen die Anzahl der Extraktionen und Misserfolge im überblickten Zeitraum doppelt so hoch war: 25,4% und 8,5% vs. 13,3% und 4,4%. Unter Einbeziehung der Devitalisationen änderte sich das Zahlenverhältnis nur unwesentlich. Differenzierte Angaben sind der Tabelle zu entnehmen.
Patientenfall 3: Alter des Patienten: 10 Jahre; 7.April 1992: 6, 65 Vitalamputation (Pulpotomie) in einer Sitzung inklusive Amalgamfüllung.
Abb. 1-2, v. l. n. r.:7.4.1992 nach Kavitätenpräparation und Ausräumung der Pulpa an 64 leichte Blutung, 65: mäßige Blutung; 7.4.1992 nach N2-Applikation (vor Amalgamfüllung).Abb. 3-5, v. l. n. r.: 7.4.1992 vor der Behandlung; 7.4.1992 nach Vitalamputation und Amalgamfüllung; 15.4.1993 12 Monate nach Vitalamputation.
Diskussion
11,8% der Kinder erschienen nach der endodontischen Behandlung nicht mehr in der Praxis. Die Ursache hierfür mag zu sehen sein in den Unannehmlichkeiten der Behandlung. Andererseits weist die DMS III (1) für 12-Jährige in Deutschland West im Jahr 1997 eine soziale Zahnarztbindung („immer bei demselben Zahnarzt“) von 92,5% aus. Eher unwahrscheinlich ist es, dass es sich bei den Ferngebliebenen allesamt um Misserfolge gehandelt hat, die die jungen Patienten bzw. deren Begleitpersonen veranlassten, einen anderen Zahnarzt aufzusuchen.
Huber analysierte in seiner Dissertation 179 N2 Vitalamputationen bei 105 Patienten. Die Misserfolgsquote siedelte er bei 9,5% an. Das Alter beim Zahnverlust stimmte mit dem Durchschnittsalter des Prämolarendurchbruchs überein.
Die klinische Misserfolgsquote der N2-Pulpotomie dieser Studie ist mit 4,4% sehr gering. Damit wird die Aussage Einwags bestätigt, der die klinische Erfolgsquote der N2-Pulpotomien mit 90–100 % beschrieb.
Obwohl in dieser Analyse nicht detailliert zu belegen, scheint eine Schmerzanamnese für den Erfolg einer N2–Pulpotomie keine Rolle zu spielen. Akute Exazerbationen, wie nach Pulpotomie mit Ca(OH)2 häufig beobachtet, traten nach N2-Pulpotomie fast nicht auf. Vor diesem Hintergrund ist es unverständlich, dass deutsche Universitäten immer noch die Ca(OH)2-Pulpotomie favorisieren. Das United Kingdom ist da in seiner Leitlinie schon weiter.
Für die Praxis ist von Bedeutung, dass die Behandlung gewährleistet, dass das Kind Ruhe hat vor dem Zahnarzt sowie der Zahnarzt vor dem Kind, dass der behandelte Zahn in situ verbleibt bis zur Exfoliation des nachfolgenden Permanents, und dass die nachfolgenden Permanentes keine Schäden erleiden.
Anwender Garry findet geeignete Worte zur Anwendung der N2-Milchzahn-Endodontie, denen sich der Autor anschließt: „When endodontic treatment is recommended for primary teeth, the concept, ‚careful selection of cases‘, is often used to warn the practioner against treating gangrenous teeth. The technique herein does not require ,careful selection‘ for treatment … The goal of endodontic
intervention on primary teeth is not to obtain radiographic images which meet standards used in treating adult teeth, but to retain deciduous teeth as long as possible entities and space maintainers."
(Erstmals erschienen in der Dental Tribune Germany 8/2009.)
Das kostenfreie Webinar bietet einen Überblick über die wichtigsten Einsatzmöglichkeiten piezoelektrischer Instrumente, von der schonenden Zahnextraktion...
WIEN - Nachdem die Zahl der Neuinfektionen in Österreich deutlich zurückgegangen ist, gelingt im Gesundheitswesen schrittweise der Weg zurück in die ...
WIEN – Die zahnärztlichen Kassentarife werden ab 01.01.2024 um 6,95 Prozent erhöht. Dieses Ergebnis konnte das neue ÖZÄK-Team bei der Ausverhandlung ...
Wien – Der zahnärztliche Interessenverband lädt zur Pressekonferenz über die dramatische Unterfinanzierung der Kassenordinationen. In den nächsten 5 ...
LEIPZIG – Am Montag, dem 18. September 2023, wurde im Rahmen einer polizeilichen Untersuchung vom Milford Police Department in einem Supermarkt eine ...
Wien – Ob Gen Z oder Gen Y – die junge Generation der Zahnärzt:innen wird immer häufiger untersucht, um das Berufsbild der Zukunft zu spezifizieren. ...
Fortbildung
Live-Webinar Do. 23. April 2026 16:00 Uhr (CET) Vienna
Göteborg – Snus steht in Zusammenhang mit Schäden am Zahnfleisch. Beim Thema Karies bleibt die Datenlage dagegen uneinheitlich. Und für neue tabakfreie...
Schaan – Im Rahmen des ersten Ivoclar Media Connect besuchten Medienvertreterinnen und -vertreter den neuen Ivoclar-Campus am Hauptsitz des Unternehmens ...
To post a reply please login or register