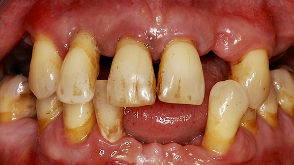
WIEN – Neben Karies ist Parodontitis die häufigste Ursache für Zahnverlust. Während Daten zur Prävalenz von Parodontitis für einige europäische Staaten wie Spanien, Schweden, Schweiz und Deutschland bereits vorliegen, herrscht in Österreich diesbezüglich noch Fehlanzeige. Die Universitätszahnkliniken Wien, Graz und Innsbruck arbeiten aktuell gemeinsam mit der ÖGP an einer Erhebung.
Parodontitis wird zurzeit mit rund 750 Millionen Betroffenen als die sechsthäufigste Erkrankung weltweit angesehen (Kassebaum et al. 2014). Neben Karies ist Parodontitis die häufigste Ursache für Zahnverlust. Zahlreiche epidemiologische Studien belegen dies. In Europa ist die Datenlage zur Prävalenz von Parodontitis nach wie vor sehr unvollständig; bisher zeigte sich die parodontal „gesündeste“ Bevölkerung in Spanien, Schweden und Schweiz, während sich in Deutschland eine erhöhte Zahnverlustrate und die höchste Prävalenz an parodontalem Attachmentverlust präsentierte (König et al. 2010). In Deutschland lag die Prävalenz von Parodontitis bei 71 bzw. 87 Prozent in den Altersgruppen von 35 bis 44 bzw. 65 bis 74 Jahren; 17 bzw. 42 Prozent der Gesamtbevölkerung litt sogar an einer schweren Ausprägung der Erkrankung (Holtfreter et al. 2010).
Als Risikofaktoren werden Rauchen, mittlerer oder geringer Bildungsgrad, ledig oder geschieden lebend, Diabetes, männliches Geschlecht und fehlende Zwischenzahnraumreinigung angesehen (Gätke et al. 2012). Darüber hinaus sind zahlreiche Zusammenhänge zwischen systemischen Erkrankungen und Parodontitis beschrieben; ein negativer Einfluss durch das Bestehen einer parodontalen Erkrankung zeigte sich im Rahmen von kardiovaskulären Erkrankungen, Diabetes, rheumatoider Arthritis, Krebserkrankungen sowie Lungenkrankheiten (Cullinan & Seymour 2013, Linden et al. 2013, Olsen 2015). Zusätzlich besteht bei Schwangeren mit einer parodontalen Erkrankung ein erhöhtes Risiko für ein verringertes Geburtsgewicht sowie für Frühgeburtlichkeit (Wimmer & Pihlstrom 2008, Cullinan & Seymour 2013, Sanz et al. 2013). Des Weiteren zeigte sich basierend auf amerikanischen Versicherungsdaten, dass durch eine regelmäßige Parodontaltherapie die Kosten und Krankenhausaufenthalte im Rahmen der Therapie von anderen systemischen Erkrankungen deutlich reduziert werden können (Jeffcoat et al. 2014).
Epidemiologische Daten
In Anbetracht dieser durch parodontale Erkrankungen verursachten beträchtlichen Kosten für das Gesundheitssystem (Chapple 2014, Jeffcoat et al. 2014), der erheblichen Beeinträchtigung der Lebensqualität durch Zahnverlust (Gerritsen et al. 2010) sowie des geringen Bewusstseins der Bevölkerung zu dieser Erkrankung (Varela- Centelles et al. 2015), sollte die Aufrechterhaltung eines gesunden natürlichen Gebisses bis ins hohe Alter das primäre Ziel sein. Jedoch bestehen in Bezug auf das parodontale Therapieangebot (öffentliche vs. private Finanzierung, Anzahl der Spezialisten in Bezug auf die Gesamtanzahl der Zahnärzte, die Verfügbarkeit des Berufs einer Dentalhygienikerin usw.) deutliche Unterschiede zwischen den europäischen Ländern. Die epidemiologischen Daten sind bisher jedoch nicht ausreichend, um gewisse Versorgungsmöglichkeiten als vorteilhaft identifizieren zu können (König et al. 2010).
Behandlungsbedarf eruieren
Es wäre daher von größter Bedeutung, in der österreichischen Bevölkerung vollständige und umfassende Daten zur Parodontitisprävalenz zu erheben. Dies würde eine Beurteilung des parodontalen Behandlungsbedarfs in Österreich erlauben und so eine Grundlage schaffen, um in weiterer Folge entsprechende Interventionen planen und setzen zu können. Dementsprechend arbeiten die Universitätszahnkliniken in Wien, Graz und Innsbruck gemeinsam mit der ÖGP an der Umsetzung dieser Parodontitis-Prävalenzerhebung in der österreichischen Bevölkerung.
Die vollständige Literaturliste gibt es hier.
WIEN – Nach wie vor ist Österreich nahezu Spitzenreiter, wenn es um Alkoholmissbrauch, Rauchen oder schlechte Ernährung geht. Das geht aus der jüngsten...
WIEN - Im Rahmen einer aktuellen Studie wurde bei 5.350 Ambulanz-Patienten der Bernhard Gottlieb Universitätszahnklinik (BGZMK) routinemäßig...
WIEN/GRAZ/INNSBRUCK/LINZ – Von ursprünglich 17.599 Angemeldeten haben Mitte August insgesamt 12.442 Bewerber unter höchsten Präventions- und ...
WIEN - Mit über 46.000 Ärzten haben wir so viele Kollegen in Österreich wie nie zuvor. Nach Jahren des Ärzteüberschusses müsste man annehmen, dass es ...
WIEN – 41,8 Prozent der Frauen, aber fast genauso viele Männer in Österreich (41,6 Prozent) gehen in einem Beobachtungszeitraum von ...
Graz – Ab 2026 sollen in der ambulanten Versorgung in Österreich standardisierte Diagnosecodes eingeführt werden, was eine Herausforderung für Ärzte ...
BOSTON, USA - Zahnfleischerkrankungen wurden bereits mehrfach mit unterschiedlichsten Erkrankungen in Verbindung gebracht. Eine aktuelle Langzeitstudie ...
WIEN - Mehr als 200 Medikamente sind aktuell in Österreich nicht lieferbar, heißt es. Und wenn die Grippewelle weitergeht und vielleicht doch mehr ...
SALZBURG - Die ersten Zähne macht der liebe Gott, die zweiten auch. Aber dann ist die Kompetenz des österreichischen Zahntechnikers und Zahnarztes...
FLONHEIM – Champions-Implants setzt seine Weiterbildungsreihe in Österreich fort.
Live-Webinar
Do. 14. Mai 2026
18:00 Uhr (CET) Vienna
Live-Webinar
Do. 14. Mai 2026
20:00 Uhr (CET) Vienna
Prof. Hani Ounsi DDS PhD FICD
Live-Webinar
Di. 19. Mai 2026
17:00 Uhr (CET) Vienna
Live-Webinar
Di. 19. Mai 2026
19:00 Uhr (CET) Vienna
Prof. Dr. med. dent. Ivo Krejci
Live-Webinar
Mi. 20. Mai 2026
13:00 Uhr (CET) Vienna
Dr. Graham Carmichael BDSc (Hons), DClinDent (Pros), FRACDS, Dr. Robert Gottlander DDS
Live-Webinar
Mi. 20. Mai 2026
15:00 Uhr (CET) Vienna
Live-Webinar
Mi. 20. Mai 2026
17:00 Uhr (CET) Vienna
To post a reply please login or register