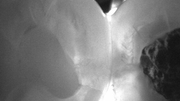
LEIPZIG – Die Nahinfrarot-Transillumination ist am 13. Mai Thema eines Webinars, das der DT Study Club anbietet. Im Rahmen der kostenfreien Fortbildungsveranstaltung werden Teilnehmer die Wertigkeit verschiedener kariesdiagnostischer Systeme kennenlernen und erfahren, wie man diese indikationsgerecht einsetzen bzw. Rückschlüsse auf die Behandlung ableiten kann.
Die visuelle Untersuchung stellt immernoch die wichtigste Methode dar, um einfach und schnell Karies zu erfassen. Dennoch weist die visuelle Diagnostik, insbesondere im Approximalbereich, erhebliche Schwächen auf, sodass ergänzende Verfahren notwendig sind. Als Goldstandard hat sich hier die Bissflügelröntgenaufnahme etabliert. Seit einigen Jahren existiert mit der Nahinfrarot-Transillumination zudem eine neue Methode, um verlässlich kariöse Läsionen ohne Röntgenstrahlen darzustellen.
Im Webinar wird Priv.-Doz. Dr. Kühnisch, wissenschaftlicher Mitarbeiter an der Poliklinik für Zahnerhaltung und Parodontologie der Ludwig-Maximilians-Universität München, über das Potenzial der Methode sowie über eigene Forschungsergebnisse und die bisherigen klinischen Erfahrungen mit der Nahinfrarot-Transillumination berichten. Zudem wird das Verfahren mit etablierten Methoden der Kariesdiagnostik verglichen und typische Behandlungsstrategien für die einzelnen Läsionsstadien dargestellt.
Das Webinar „Mit Nahinfrarot-Transillumination kariöse Läsionen frühzeitig und röntgenfrei auffinden und behandeln“ wird am Mittwoch, 13. Mai, ab 17 Uhr live über das Internet übertragen. Fragen an den Referenten können über ein Chatfenster gestellt werden. Im Anschluss an die Fortbildungsveranstaltung haben alle Teilnehmer die Möglichkeit, einen Multiple-Choice-Fragebogen zur behandelten Thematik auszufüllen und so einen Fortbildungspunkt zu erhalten. Der entsprechende Nachweis kann sofort ausgedruckt und später bei der zuständigen Kammer eingereicht werden.
Die Anmeldung für das Webinar ist ab sofort auf www.dtstudyclub.de möglich.
LEIPZIG – Die Nahinfrarot-Transillumination ist am 25. März Thema eines Webinars, das der DT Study Club anbietet. Im Rahmen der kostenfreien ...
LEIPZIG – In einem vom DT Study Club präsentierten Webinar stellt Dr. Stefan Neumeyer, Zahnarzt und Implantologe aus Eschlkam, am 24. April die ...
LEIPZIG - Im Dental Tribune Study Club erläutert Siegfried Leder in einem 45-minütigen Online-Seminar die Ursachen von Bruxismus und stellt seine ...
LEIPZIG – Kompositfüllungen in Seitenzähnen gehören zur täglichen zahnärztlichen Routine. In einem Webinar des DT Study Clubs...
LEIPZIG – Am 28. Juli präsentiert der Dental Tribune Study Club ein etwa einstündiges Webinar zum Thema Dokumentationspflicht und ...
LEIPZIG – Parodontale Erkrankungen können durch eine zielführende Prophylaxe deutlich reduziert werden, wenn neben der supragingivalen ...
LEIPZIG - Viele Kinder fürchten den Besuch beim Zahnarzt. Eine schmerzarme und schonende Behandlung mit einem Dentallaser kann den jungen ...
LEIPZIG – Mit einem Webinar am 10. Oktober richtet sich der Dental Tribune Study Club (DT Study Club) dieses Mal besonders an Endodontologen. In ...
LEIPZIG – Die Leser des Implantologie Journals erhalten monatlich die Möglichkeit, ein thematisches Webinar des DT Study Clubs abzurufen und...
LEIPZIG – Die Verknüpfung digitaler Medien macht Behandlungsabläufe nicht nur einfacher, sicherer und standardisierter sondern bietet auch ...
Live-Webinar
Do. 14. Mai 2026
18:00 Uhr (CET) Vienna
Live-Webinar
Do. 14. Mai 2026
20:00 Uhr (CET) Vienna
Prof. Hani Ounsi DDS PhD FICD
Live-Webinar
Di. 19. Mai 2026
17:00 Uhr (CET) Vienna
Live-Webinar
Di. 19. Mai 2026
19:00 Uhr (CET) Vienna
Prof. Dr. med. dent. Ivo Krejci
Live-Webinar
Mi. 20. Mai 2026
13:00 Uhr (CET) Vienna
Dr. Graham Carmichael BDSc (Hons), DClinDent (Pros), FRACDS, Dr. Robert Gottlander DDS
Live-Webinar
Mi. 20. Mai 2026
15:00 Uhr (CET) Vienna
Live-Webinar
Mi. 20. Mai 2026
17:00 Uhr (CET) Vienna
To post a reply please login or register