BERLIN/GREIFSWALD - Die Präparation mit Er:YAG-Lasern hat diverse Vorteile gegenüber der Verwendung von Hochgeschwindigkeitsschleifkörpern. Wesentlich sind das optimale subjektive Empfinden der Patienten/-innen bei Laseranwendung zur Präparation und der weitgehende Verzicht auf Anästhesien.
Die Kavitätenpräparation mit dem Er:YAG-Laser hat sich in den letzten zwanzig Jahren stark weiterentwickelt. Basierend auf den Arbeiten von Keller und Hibst aus den 1990er-Jahren hat sich eine breite Anwendung für die Erbiumwellenlängen ergeben.[1,2] So hat sich auch das Indikationsspektrum dieser Wellenlänge stets erweitert. Durch die geringe thermische Beeinflussung des Substrats und die gute und selektive Ablation im lebenden Gewebe ist der Er:YAG-Laser heute eine wertvolle Hilfe in der Knochenchirurgie und Parodontologie.[3,4] Die Anwendung des Er:YAG-Lasers zur Wurzeloberflächenreinigung schafft bessere Bedingungen zur Anhaftung von Fibroblasten und damit zur einem besseren Reattachment.[5]
embedImagecenter("Imagecenter_1_272",272, "large");
Besonders effizientere Übertragungssysteme und Handstücke haben dazu geführt, dass die vom Gerät produzierte Laserenergie auf die Oberfläche der Zähne übertragen werden kann und zu einem schnellen Arbeiten führen. Das ist heute der wichtigste Aspekt, wo sich die Geräte der einzelnen Hersteller teils gravierend unterscheiden. Sogenannte Maxmod-Einstellungen arbeiten mit Pulsenergien von bis zu 1.000mJ und stehen im Abtrag einer Turbine in nichts nach, zeigen zum Teil sogar einen höheren Abtrag an Zahnsubstanz. Die lasergestützte Kavitätenpräparation ist gut untersucht und in einschlägigen Werken umfassend dokumentiert.[6]
Das Kollagennetzwerk des Dentins, ein wichtiger Ansprechpartner für moderne adhäsive Füllungsmaterialien, wird durch die Laserstrahlung oberflächig zerstört und denaturiert. In den Tubuli konnte jedoch ein normal ausgeprägtes Netzwerk gefunden werden.[7] Neben der berührungsfreien Kavitation mit Laser ist die Erzielung einer bakterienfreien Oberfläche als Grundlage der Prävention von Sekundärkaries und der Gesunderhaltung des pulpalen Organs zu nennen.[8]
Tanabe et al. (2002) wiesen eine dem konventionellen Schleifen vergleichbare histochemische Reaktion in den pulpalen Geweben nach. Bei der Aktivität der alkalischen Phosphatase, spezifischer Antigen exprimierender Zellen und reaktiver Nervfasern konnte kein wesentlicher Unterschied bis zu sieben Tage nach der Präparation gefunden werden. Wichtig für eine fehlende Schädigung der Pulpa ist jedoch die Nutzung geeigneter Power Settings, um die Präparationseigenschaften zu verbessern.[9]
Der Haftverbund von laserkonditionierten Oberflächen im Schmelz und Dentin wird sehr kontrovers diskutiert. De Munk et al. (2002) fanden bei ihren Untersuchungen, dass mit dem Diamantschleifer präparierte und geätzte Oberflächen einen besseren Haftverbund als gelaserte Oberflächen aufweisen. Die verwendete Pulsfrequenz hat jedoch keinen Einfluss auf die Verbundstabilität zwischen Schmelz und Komposit.[10] Auch dieser Aspekt der Laserzahnheilkunde wurde umfassend untersucht und verbessert.
Geräteparameter
Er:YAG-Laser gehören zu den Festkörperlasern, wobei das Laserlicht über einen Blitzlampen gepumpten Erbium dotierten Yttrium-Aluminium-Granat-(YAG-) Kristall erzeugt wird. Das über einen halb durchlässigen Spiegel ausgekoppelte Laserlicht der Wellenlänge 2.940 nm wird je nach Gerät über einen Spiegelgelenkarm oder eine Spezialglasfaser zum Handstück befördert. An der Hartsubstanz werden heute die Wellenlängen des Er:YAG-Lasers bei 2.940nm und des Er,Cr:YSGG-Lasers bei 2.780nm eingesetzt. Spiegelgelenkarme sind bei dieser Wellenlänge dominierend und durch die optimale Austarierung und Leichtgängigkeit problemfrei zu bedienen. Die Handstücke sind entsprechend einem Winkelstück aufgebaut und enthalten das optische Endstück zum Freisetzen des Laserstrahls, das entweder ein Spezialglasfenster oder ein Saphir-Tip enthalten kann, sowie die Leitungssysteme und Düsen für die Wasserkühlung. Sowohl Fenster als auch Tip sind für eine berührungsfreie Arbeit konzipiert. Der Tip sollte in einer Entfernung von 3 bis 5mm geführt werden, da sonst aus der Oberfläche herausgeschossene Zahnpartikel zu einer Beschädigung führen.
Sehr wichtig ist die korrekte Luft/Wasser-Spray-Einstellung. Die Er-Wellenlängen sind in ihrer Wirksamkeit an Wasser gebunden. Nur so kann eine Temperaturerhöhung, massive Rissbildungen, Aufschmelzung der Hartsubstanz, Karbonisationen und Schädigungen der Pulpa vermieden werden. Neben der Kühlung werden die ausgesprengten Hartsubstanzpartikel mit dem Wasserspray abgeschwemmt. Besonders im Halsbereich der Zähne ist die Kühlung von emanenter Bedeutung, da die Substanzdicke über der Pulpa gering ist.
Nicht veränderbar ist vom Anwender das Profil des emittierten Strahls auf die Zahnoberfläche. Dieses ist vom Gerät, dem Übertragungssystem und dessen Querschnitt abhängig. Es beschreibt die Energieverteilung im Laserpunkt selbst. Die vom Behandler gewählten Power Settings sind wichtig für den gewünschten Effekt. Einstellbar sind die Pulsenergie in Millijoule, die Repititionsrate (Frequenz) und die Pulslänge. Aus der Pulsenergie und der Repititonsrate ergibt sich die verfügbare Leistung an der Substanzoberfläche. Mit der Pulslänge kann die Leistung über die Zeit angepasst werden. Je länger der Puls, umso weniger Material wird bei gleicher Energie abgetragen. Ein typisches Beispiel ist die Voreinstellung nach Pulslängen beim Fidelis 2 (Fotona, Henry Schein), dargestellt in Tabelle 1. Grobpräparationen werden mit sehr kurzen Pulslängen und hohen Pulsenergien bei höherer Frequenz durchgeführt. Pulpennahe und Nachpräparationen sind optimal bei mittellanger Pulslänge, niedriger Frequenz und Pulsenergie.
Raumgreifende Grobpräparationen werden mit der Maxmod- oder SSP-Einstellung, korrigierende Nachpräparationen mit VSP (150–230mJ, ca. 15Hz) durchgeführt. Das finale Finishing kann mit 80–100mJ und 10Hz zur Reinigung der Präparation und Anrauung noch nicht behandelter Oberflächen durchgeführt werden. Der letzte Schritt kann das Reinigungsätzen der Oberflächen nach der Präparation ersetzen.
Klinisches Vorgehen
Zahnhalsdefekte lassen sich in die halsnah gelegenen Schmelz-/Dentindefekte (allseits noch von Schmelz begrenzt) und die typischen Klasse-V-Kavitäten (koronal durch Schmelz und nach zervikal durch Dentin und Schmelz begrenzt) einteilen. Die Therapie der ersten Gruppe kann sich durch das Vorhandensein von gut strukturierbarem Schmelz mit adhäsiven Materialien einfach gestalten. Die typische Klasse-V-Kavität weist nur am koronalen Rand Schmelz auf, zervikal ist lediglich Dentin vorhanden und die Kavitätenränder sind in einem Großteil der Fälle subgingival gelegen. Hier gesellt sich zur Füllungsproblematik mit Verbund zu unterschiedlichen Zahnmaterialien noch der Aspekt einer eingeschränkten Trockenhaltung, eventuell der Gingivablutung hinzu. Im Gegensatz zum optimalen adhäsiven Verbund moderner Komposite am Schmelz ist der dentinadhäsive Verbund am zervikalen Rand im Dentin aus Sicht des Praktikers nicht gleichwertig, sodass diese Kavitäten auch heute noch gelegentlich mit Unterschnitten zur Verankerung versehen werden.
Vorteil des Lasers ist eine substanzschonende Präparation mit Erhalt makro- und mikroretentiver Oberflächen. Durch die kraterförmige Gestalt der einzelnen Laserschüsse ergibt sich im Übergangsbereich zum natürlichen Schmelz ein dreidimensional versetztes Retensionsmuster, was beim Auffüllen mit Komposit durch diffuse Brechung des Lichts nicht zu den typischen optischen Kanten führt und damit ein natürliches Aussehen generiert. Die kraterförmigen Vertiefungen sorgen gleichzeitig für zusätzliche Retentionen über die Fläche der gesamten Kavität, so dass keine Unterschnitte notwendig werden.
Anlagebedingte Schmelzdefekte
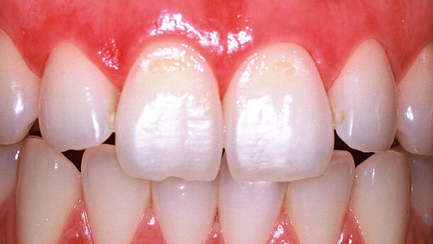
Anlagebedingte Schmelzdefekte in der Form von dysplastischen Schmelzarealen gehen auf eine Nichtanlage des Schmelzes in umschriebenen Gebieten zurück. Diese Bereiche sind stärker durch Verfärbungen, Kariesbildung und Hypersensibilitäten gekennzeichnet als regulärer Schmelz. Eine adhäsive Abdeckung ist heute Mittel der Wahl. Abbildung 1 zeigt einen symmetrischen Defekt an der Vestibulärseite der beiden oberen 1er. Das Areal wurde ohne Anästhesie bis auf den gesunden Schmelz übergreifend gelasert (220mJ, 15Hz, Abb. 2). Nach dem Trockenlegen der Kavität zeigt sich das typische opake Oberflächenmuster. Die weißliche Oberfläche entsteht an der trockenen Substanz durch eine veränderte Lichtbrechung (Abb. 3). Im vorliegenden Fall ist eine Reinigung der gelaserten Oberflächen mit Phosphorsäuregel für 10 Sekunden durchgeführt worden. Die Ätzung schafft keine zusätzliche Retention, sondern entfernt die elektrostatisch gebundenen Partikel. Nach erneuter Trocknung der konditionierten Kavität wird ein Bonding aufgetragen, verblasen und fotopolymerisiert. Danach erfolgt das Aufbringen des Komposites (Enamel HFO Plus, Micerium, Italien) in der entsprechenden Farbe, beginnend mit einer dünnen Schicht Flow-Material zur optimalen Benetzung und Minimierung der Blasenbildung (Abb. 4) und das jeweilige Aushärten. Je nach Größe der Kavität ist schichtweise zu arbeiten. Das mechanische Ausarbeiten der Füllung mit Feinkorndiamanten und eine abschließende Politur geben dem Zahn seine optimale Form und Struktur zurück (Abb. 5). Das Ergebnis ist in jeder Hinsicht überzeugend. Als letzter Arbeitsschritt wird die mechanisch bearbeitete Oberfläche mit der Polymerisationslampe nochmals nachgehärtet. Besonders bei diesen ästhetisch auffälligen Defekten ist ein sehr hochwertiges Material von Vorteil, da es über lange Zeit rand- und verfärbungsstabil ist und mit kleinem Aufwand wieder aufpoliert werden kann.
Pflege- und funktionsbedingte Schmelzdefekte
Pflege- und funktionsbedingte Schmelzdefekte in der Form von moderaten keilförmigen oder flächigen Defekten zeigt der nachfolgende Patientenfall. Die Patientin war vom Onkologen vor einer Chemotherapie zur Sanierung in unsere Praxis geschickt worden. Es zeigten sich neben wenigen kariösen Defekten eine ausgeprägte Parodontitis mit starker Lockerung der Unterkiefer-Front und einige nicht kariöse schmelzpenetrierende Defekte zahnhalsnah an 11 und im zweiten Quadranten. Nach Primärsanierung der kariösen Zähne, dem Einschleifen und der Stabilisierung der Unterkieferfront sowie einer Erstbehandlung der Parodontitis wurden die nichtkariösen Schmelzdefekte bei 11 und im zweiten Quadranten versorgt (Abb. 6). Die Präparation mit dem Laser (Fidelis 2, VSP, 240mJ, 15Hz/180mJ, 10Hz) führte bei substanzschonender Vorbereitung zu einer optimalen Kavitäten- und Oberflächenkonditionierung. Eine Reinigung mit Phosphorsäuregel wurde für 10 Sek. durchgeführt. Ebenso wurde umliegender nicht konditionierter Schmelz angeätzt (Abb. 5). Nach dem Trocknen ergab sich ein typisches Bild der Oberflächen, wobei sich die gelaserten und geätzten von den nur geätzten Flächen aufgrund der höheren Rauigkeit deutlich abhoben. Mit dem Auftragen des Bonding verändert sich die Lichtbrechung in den vorbereiteten Oberflächen: die Zähne erscheinen wieder homogen. Nach der ersten Polymerisation und dem Abblasen der Überschüsse erfolgt die Aufschichtung der Kavitäten schichtenweise, beginnend mit Flow-Material vom Enamel HFO Plus (Micerium, Italien) in entsprechender Farbe. Auf eine ausreichende Polymerisationszeit ist zu achten. Die formgebende Ausarbeitung wird mit Feinkorndiamanten durchgeführt (Abb. 6) und zum Schluss erfolgt die Politur mit entsprechenden Polierern in feiner werdender Körnung.
Der Artikel wurde erstmals im Laser Journal 1/2011 der OEMUS Media AG veröffentlicht.
Literaturverzeichnis
[1] Keller U, Hibst R: Effects of Er:YAG lasers in caries treatment: a clinical pilot study; Lasers Surg Med 20, 32-38 (1997).
[2] Keller U, Hibst R, Geurtsen W, Schilke R, Heidemann D, Klaiber B, Raab WHM: Erbium:YAG laser application in caries therapy. Evaluation of patient perception and acceptance; J Dent 26, 649-656 (1998).
[3] Paghdiwala AF: Root resection of endodontically treated teeth by Erbium:YAG laser radiation; J Endodont 19, 91-94 (1993).
[4] Levin M, Roll-Avrahami R: Comparison between conventional scaling and laser removal of subgingival calculus: an in vitro pilot study; J Oral Laser Application 2, 31-35 (2002).
[5] Schoop U, Moritz A, Kluger W, Frei U, Maleschitz P, Goharkhay K, Schöffer C, Wernisch J, Speer W: Changes in root surface morphology and fibroblast adherence after Er:YAG laser irradiation; J Oral Laser Application 2, 83-93 (2002).
[6] Moritz A, Schoop U, Straßl M, Winter E: Lasergestützte Kavitätenpräparation; In: Moritz A (Hrg): Orale Lasertherapie, Quintessenz-Verlag, Berlin 2006
[7] Benazzato P, Stefani A: The effect of Er:YAG laser treatment on dentin collagen: an SEM investigation; J Oral Laser Application 3, 79-81 (2003).
[8] Sharon-Buller A, Block C, Savion I, Sela M: Reduced bacteria levels in cavities prepared by Er:YAG laser; J Oral Laser Application 3, 153-155 (2003).
[9] Nair PR, Baltensperger MM, Luder HU, Eyrich GKH: Pulpal response to Er:YAG laser drilling of dentine in healthy human third molars; Lasers Surg Med 32, 203-209 (2003)
[10] Concalves M, Corona SAM, Pecora JD, Palma RG: Influence of the frequency of Er:YAG laser on the bond strength of dental enamel; J Clin Laser Med Surg 21, 105-108 (2003).
Wien – Mit 1. Juni 2025 verändert sich für viele Menschen in Österreich der Zugang zu Gesundheitsleistungen, teils subtil, teils spürbar im ...
LEIPZIG – Die Live-OP mit Dr. Karl Ulrich Volz/Kreuzlingen zum Thema „Das SDS ALL-IN-ONE-CONCEPT Teil 1: Sofortimplantation Regio 11 und 12 im Rahmen ...
LEIPZIG – Live-OP verpasst? Das Video zur OP ist ab sofort im Archiv verfügbar.
LEIPZIG – Wer die Live-OP mit Dr. Karl Ulrich Volz verpasst hat, kann sie nun im ZWP online CME-Archiv abrufen.
LEIPZIG – Der fünfte Teil der SDS Live-OP mit Dr. Karl Ulrich Volz ist im ZWP online Archiv verfügbar.
LEIPZIG – Die SDS Live-OP zum Thema „Das SDS ALL-IN-ONE-CONCEPT Teil 4: Bone Growing Implants – biologische Gesetze intelligent nutzen“ kann ab ...
LEIPZIG – Der dritte Teil zum „SDS ALL-IN-ONE-CONCEPT“ fand am 8. Juni statt und ist nun am Archiv verfügbar.
LEIPZIG – Die Live-OP mit Dr. Karl Ulrich Volz/Kreuzlingen zum Thema „Das SDS ALL-IN-ONE-CONCEPT Teil 2: NICO-OP Regio 18/48 und Extraktion Regio 15 mit...
WIEN – Telemedizin eröffnet neue Möglichkeiten, ohne den direkten Patientenkontakt zu verdrängen – Vorbild Schweiz.
LEIPZIG – Die Live-OP mit Dr. Karl Ulrich Volz findet am 23. Februar in der Zeit von 9.15 bis 11 Uhr statt. User können die OP live auf ZWP online ...
Live-Webinar
Do. 14. Mai 2026
18:00 Uhr (CET) Vienna
Live-Webinar
Do. 14. Mai 2026
20:00 Uhr (CET) Vienna
Prof. Hani Ounsi DDS PhD FICD
Live-Webinar
Di. 19. Mai 2026
17:00 Uhr (CET) Vienna
Live-Webinar
Di. 19. Mai 2026
19:00 Uhr (CET) Vienna
Prof. Dr. med. dent. Ivo Krejci
Live-Webinar
Mi. 20. Mai 2026
13:00 Uhr (CET) Vienna
Dr. Graham Carmichael BDSc (Hons), DClinDent (Pros), FRACDS, Dr. Robert Gottlander DDS
Live-Webinar
Mi. 20. Mai 2026
15:00 Uhr (CET) Vienna
Live-Webinar
Mi. 20. Mai 2026
17:00 Uhr (CET) Vienna
To post a reply please login or register