DÜSSELDORF-KAISERSWERTH – Der Markt wird derzeit überschwemmt mit multiplen Angeboten von reinen Non-prep-Veneers. Diese haben vielfach ihre Berechtigung und bilden auch ein hervorragendes Marketingtool in der ästhetisch spezialisierten Fachpraxis. Die Indikationsbreite wird jedoch schmaler, wenn besondere und individuelle Farb- und Formgestaltungen seitens des Patienten gewünscht werden oder aber habituelle Dysfunktionen seitens des Patienten bestehen, die eine rein standardisierte Veneererstellung ausschließen.
Zu wichtig sind in solchen speziellen Fällen die Ermittlung umfassender funktionsanalytischer Daten sowie die Verwendung dieser Einstellungsdaten bei der Erstellung der Veneers, um eine möglichst harmonische Okklusionsgestaltung und vor allem eine störungsfreie Artikulationsfunktion zu ermöglichen. Ziel muss es für jeden noch so schönen und ästhetisch anspruchsvollen Veneerfall immer sein, eine Langlebigkeit der Veneers zu erzielen durch eine Minimierung möglicher Frakturrisiken.
Dies führt sinnvollerweise zunächst über eine klassische, genaue klinische Erhebung aller relevanten funktionsanalytischen Daten. Die genaue klinische Untersuchung und Dokumentation der Grundparameter ist absolut wichtig, um schon am klinischen Funktionsbild zu erkennen, wo Überlastungen bestehen und auftauchen können. Gerade hier an dieser Stelle sollte sich der versierte Facharzt auch der computergestützten Gelenkbahnaufzeichnung nach CADIAX oder eines ähnlichen Systems bedienen. Die ermittelten Daten ermöglichen auf jeden Fall genaue Artikulatorprogrammierungen und sorgen so dank genauer Bewegungssimulation im Artikulator für störungsfreiere Artikulationen der neuen Rekonstruktionen. Beim CADIAX werden Protrusion und Öffnungsbewegung aufgezeichnet. Ebenso die Medio- und Laterotrusionen. Die ermittelten Daten führen zu den erwähnten genauen Artikulatoreinstellungen, die eine exakte Bewegungssimulation des Unterkiefers in der Funktion ermöglichen.
Spezialisten können die Aufzeichnung auch so weit treiben, dass durch eine offene Bissgabel, die nur seitlich an den Unterkieferzähnen arretiert wird, eine exakte Aufzeichnung auch in Interkuspidation ermöglicht wird.
Als Resultat der funktionsanalytischen Gesamtanalyse sollte gezielt für eine störungsfreie Artikulation besonders auch im Seitenzahnbereich gesorgt werden, da gerade hier oftmals alte Füllungen, Inlays/ Onlays oder Kronen für Fehlkontakte sorgen, die ihrerseits wieder häufig auslösend für Parafunktionen sind.
Retinierte Weisheitszähne sollten entfernt sein. Ebenso können kieferorthopädische Vortherapien indiziert sein, um bestehende Fehlfunktionen zu korrigieren. Außerdem können präprothetische kieferorthopädische Therapien auch für einen geringeren Substanzabtrag bei der geplanten Präparation der vorhandenen Zahnhartsubstanz sorgen.
Bevor also überhaupt eine Präparation von Frontzähnen für Veneers erfolgen darf, müssen klar vorab funktionsanalytisch basierend alle Parameter für eine störungsfreie Artikulation ausgeführt sein.
Fallbeispiel
Der nachfolgend dargestellte Fall veranschaulicht in eingehender Weise das Zusammenspiel von Ästhetik und Funktion bei der Erstellung von Veneers bei einem Patienten mit extrem ausgeprägten, habituellen Dysfunktionen mit massiver Zerstörung der Oberkieferfrontzähne durch extreme Laterotrusionsgewohnheiten.
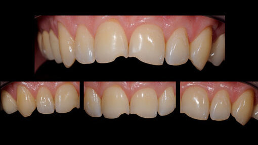
Abb. 1–3.: Ausgangssituation mit ausgeprägten Habituellen Dysfunktionen.
Der Fall wurde komplett nach Richtlinien der ESCD – European Society for Cosmetic Dentistry zum Erwerb der Zertifizierung als Specialist for Cosmetic Dentistry ESCD dokumentiert und war Teil der Zertifizierung. Die genauen Richtlinien der Gesellschaft können beim Autor angefordert werden. Entscheidender Bestandteil der Dokumentationen ist die Gleichheit der Fotoeinstellungsdaten aller Ansichten, die sowohl vor jeglichen Rekonstruktionen erhoben werden müssen als auch nach Abschluss der Rekonstruktionen. Erst dann gilt der Fall als komplett dokumentiert.
Neben der offensichtlichen Beseitigung der Destruktionen spielten für den Patienten folgende Faktoren eine besonders wichtige Rolle: Langlebigkeit der Rekonstruktionen, Mitspracherecht bei Form- und Farbgestaltung, Verwendung von Vollkeramik, substanzschonende Präparation sowie ein harmonisches und sportliches Gesamtbild, das zu seinem neuen Sporttypus passte. Weiterhin wünschte er eine rein kosmetische Optimierung der Unterkieferfrontzähne mit leichtem Contouring und ggf. nach der Erstellung der oberen Veneers ein BRITESMILEBleaching. Anamnestisch betrachtet waren bei dem Patienten in der Jugend vier Prämolaren extrahiert worden und es erfolgte hernach eine kieferorthopädische Therapie. Über die Jahre wurden alle Zähne nach und nach konservierend versorgt. ie Weisheitszähne konnten sich hernach gut einstellen. Sämtliche Prämolaren und Molaren im ber- und Unterkiefer waren bereits vor Jahren mit vollkeramischen Cerconkronen versorgt werden. Eine komplette Neuanfertigung mit leichter Bisshebung zur Verringerung des Overbite war seitens des Patenten nicht gewünscht worden. Daher musste sich unser Hauptaugenmerk bei der Gesamtrekonstruktion dann auch klar auf die Gestaltung einer fehlerfreien und fraktursicheren Gestaltung der Oberkieferfrontzahnveneers richten. Sämtliche Störfaktoren waren nunmehr gezielt im Frontzahnbereich zu minimieren.
Abb. 4: Präparation ohne Gingiva-Korrektur (v.l.n.r.). Abb. 5: Kronenverlängerung mittels Laser. Abb. 6: Präparation. Abb. 7: Finale Präparation.
Das ästhetische Contouring der Unterkieferfrontzähne führt natürlich zu einem harmonischeren Gesamtbild. Andererseits kann gerade hierbei ein Hauptfrakturgrund von Veneers beseitigt werden: Patienten mit extremsten Unterkiefermobilitäten sind in der Lage, in exzentrischste Bereiche der Protrusion und der Laterotrusion zu schieben, die oft weit über die Schneidekanten der Oberkieferzähne hinausgehen. Oftmals ist aber gar nicht die reine Hinbewegung für die Fraktur und Destruktion eines Veneers verantwortlich. Vielmehr geschieht dies bei der Rückbewegung des Unterkiefers, wenn die Zähne retrusiv aus der extremen Auslenkung zurückgleiten und sich hierbei verhaken und nunmehr in diesem Moment extremste Kräfte auftauchen, die völlig ungerichtet für eine unberechenbare und ungeplante Fraktur eines Veneers sorgen. Diese Extremauslenkungen können ja selbst bei Artikulatorprogrammierung nur dann imitiert werden, wenn der Techniker vom Zahnarzt auch eine Bisssituation dieser Extremlage erhält. Fährt der Techniker nur die Standardbewegungen des Unterkiefers ab, da er vom Normalfall ausgeht, erreicht er niemals die Extrembereiche der bestehenden habituellen Dysfunktion. Dies gilt in besonderem Maße auch bei Ablösung von Unterkieferveneers bei der Retrusion des Unterkiefers aus einer exzentrischen Protrusion, aber auch für die spontane Absplitterung und Destruktion von Oberkieferveneers bei gleicher Bewegung.
Ziel des Frontzahncontouring muss bei solchen Patienten klar die Beseitigung sämtlicher Störflächen sein, die zu einem Verhaken bei Pro- und Retrusionen des Unterkiefers führen können. Dies sollte auch lar vor der eigentlichen Veneerpräparation geschehen und muss durch eine genaue Markierung sämtlicher, möglicher Bewegungen der Unterkieferfrontzähne in den Palatinalflächen der Oberkieferzähne und auch über die Schneidekanten hinaus geschehen.
Gerade auch Patienten mit Deckbissanlage und Frontengständen oder Frontschachtelstellungen sind sehr für Veneerfrakturen prädestiniert. Lehnt der Patient die einem solchen Falle sicherlich notwendige kieferorthopädische Vorbehandlung ab, müssen in jedem Falle bei leicht rotierten Unterkieferfrontzähnen gerade ihre nach retral geneigten Kanten auch geglättet und gerundet werden. Dann haben auch die danach erstellten neuen Veneers eine Chance, im Gebiss mit habituellen Dysfunktionen zu überleben.
Dies wurde auch nach eingehenden funktionsanalytischen Dokumentationen und funktionellen Analysen entsprechend in diesem Fall durchgeführt. Beim Studium des Wax-ups wurde klar, dass hier für ein ästhetisches Ergebnis auf jeden Fall präpariert werden musste. Nicht nur wegen Entfernung der alten vestibulär liegenden Composite-Rekonstruktionen, sondern auch wiederum zur optimalen Gestaltung der Veneers und aus Gründen der Frakturvermeidung. Welche grundlegenden statischen Gestaltungsmöglichkeiten standen uns in diesem Falle denn überhaupt noch zur Verfügung?
Abb. 8: Sulkusdarstellung mittels Diodenlaser (v.l.n.r.). Abb. 9: Funktionelle Provisorien nach Wax-up-Vorlage. Abb. 10: Veneers auf dem Modell.
Da eine klare Deckbissanlage bestand, bei der die Oberkieferfront die Unterkieferfront um mehr als 3 mm überragte, bestand die erste Maßnahme darin, die Oberkieferzähne um einen ausreichenden Betrag zu kürzen. Allein dadurch entstehen im späteren, kürzeren Veneer erheblich geringere statische Hebelkräfte als bei einem normal langen oder überlangen Veneer. So können auch bei habituellen Dysfunktionen bessere Kraftverteilungen innerhalb der Veneers resultieren.
Um dennoch optisch in diesem Fall ein optimales ästhetisches Ergebnis zu kreieren, wurde während der Präparation durch Einsatz eines Diodenlasersystems von ELEXXION eine entsprechende Laser- Kronenverlängerung durchgeführt. Hiermit können zur Gestaltung eines harmonischen Smile-Designs zum einen Längendisharmonien zwischen den einzelnen Zähnen ausgeglichen als auch generell eine Verlängerung der klinischen Kronen aller Frontzähne erzielt werden. Dabei können diese Maßnahmen immer sicher durchgeführt werden, wenn eine ausreichend dicke Zone von Attached Gingiva vorhanden ist und eine Exzision mit anschließender Präparationsrandverlegung nicht zu einer Unterschreitung der biologischen Breite führt.
In diesem Falle war gerade am Zahn 11 ein ausgeprägter, mesioapproximal liegender Zahnhalsdefekt in die Präparation einzubeziehen, was zu einer erheblichen Längendisharmonie zum Zahn 21 führte. Nach entsprechender Laserkorrektur erschienen beide mittleren Einser nahezu gleich lang und konnten entsprechend präpariert werden. Zur Abdrucknahme musste nur noch mit geringerer Leistungseinstellung des Diodenlasers eine minimalinvasive Präparationsrandfreilegung durchgeführt werden.
Abb. 11: Bleaching der Zähne im Unterkiefer (v.l.n.r.). Abb. 12: Neue harmonische Frontführung.Als weitere Information braucht der Zahntechniker in jedem Falle noch die natürliche Farbe des präparierten Stumpfs, um hier unter Abschätzung der Opazität der Keramik auch auf das gewünschte farbliche Endergebnis hinarbeiten zu können.
Welche zahntechnischen Parameter können an dieser Stelle nun bei Patienten mit habituellen Dysfunktionen dienlich sein? Zum Einen spielen klar die erwähnten statischen Konstruktionsdaten der Veneerlänge eine wesentliche Rolle. Andererseits können Protrusions- und Laterotrusionskräfte klar bei iner flacheren Gestaltung des sagittalen Schneidezahnführungswinkels leichter kompensiert werden. Statt der reinen Übernahme der identischen Ausgangsdaten können hier durch Feinadjustierung optimale Funktionsflächen geschaffen werden, die einfach harmonischer und leichter antagonistisch arbeiten können. Also resultiert daraus nicht nur eine vorsichtige Änderung der Overbite- Overjet-Relation, sondern auch eine feine Adjustierung der pathologischen Front-Seitenführung.
Weiterhin spielen die Auswahl und Verarbeitung der Veneerkeramiken eine tragende Rolle. Vorzug ist hier elastischeren und abrasionsbeständigen Keramiken zu geben. Im vorliegenden Fall entschieden wir uns zusammen mit dem Zahntechnikermeister Olaf van Iperen für folgende Kombination: Zunächst wurde ein Ao+ Pressbody verwendet. Danach wurde mehrfach mit Authentic geschichtet. Nach der Modellation der Form erfolgten die Pressung und dann die Schichtung. Insgesamt wurden vier Brände gebraucht, um das perfekte Endresultat zu erzielen. Großer Vorteil dieser Technik ist klar die extreme Lebhaftigkeit der Veneers, die aus der Mehrschichttechnik resultiert.
Für unseren Patienten erfüllten sich damit sowohl optisch als auch funktionell seine hoch gesetzten Ziele direkt schon nach dem Einsetzen. Ästhetisch war er direkt über alle Maßen begeistert und konnte sich sofort mit seinem sportiven, natürlichen Lachen anfreunden. Funktionell kam es ihm direkt so vor, dass ihm in jeder Bewegung nichts im Wege sei und er dennoch alles scharf beißen könnte. Er fühlte sich sichtlich erleichtert und seine Gefühlswelt beschrieb ziemlich detailliert, was wir mit der Neugestaltung der Schneidezähne im Falle dieser ausgeprägten Habituellen Dysfunktion erzielt hatten.
Abb. 14: Abschlussfotos aus zahlreichen Perspektiven.
Fazit
Der gezielte Vergleich der Vorher- und Nachhersituation zeigt deutlich die neue, stressfreie Situation im Oberkieferfrontzahnbereich. Diese sollte bei Patienten mit habituellen Dysfunktionen angestrebt werden.
Eine genaue Planung und umsichtige Abwägung der zu verwendenden Veneerart, ob Prep oder Nonprep, kann nur wärmstens empfohlen werden. Verschweigen wollen wir an dieser Stelle dennoch nicht, dass unser Patient außerdem zum Abschluss der Behandlung eine Oberkiefer-Aufbissschiene erhielt, um einem möglichen nächtlichen Destruktionsschlaf auch langfristig sicher entgegenzuwirken. Diese sollte man unserer Meinung nach in fast allen Fällen der habituellen Dysfunktionen therapeutisch auch nach Abschluss der Rekonstruktion zum Schutz der Veneers einsetzen.
(Erstmals erschienen in der Dental Tribune German Edition 6/2009.)
München – Ob im Darm, im Mund oder auf der Haut: Der Körper ist von verschiedenen, meist nützlichen Bakterien besiedelt, deren Zusammensetzung sich in ...
ULM – In einem Verbundprojekt haben die Klinik für Zahnärztliche Prothetik des Universitätsklinikums Ulm (UKU) und das Institut für Lasertechnologien ...
Fortbildung
Live-Webinar Do. 23. April 2026 16:00 Uhr (CET) Vienna
Göteborg – Snus steht in Zusammenhang mit Schäden am Zahnfleisch. Beim Thema Karies bleibt die Datenlage dagegen uneinheitlich. Und für neue tabakfreie...
Schaan – Im Rahmen des ersten Ivoclar Media Connect besuchten Medienvertreterinnen und -vertreter den neuen Ivoclar-Campus am Hauptsitz des Unternehmens ...
To post a reply please login or register