Search Dental Tribune

GC International Artikel

Prof. Maria Fidela de Lima Navarro honoured as professor emeritus at University of São Paulo

SÃO PAULO, Brazil: In a ceremony full of accounts of overcoming challenges and inspiring accomplishments, the faculty of dentistry on the University of ...

Speichern

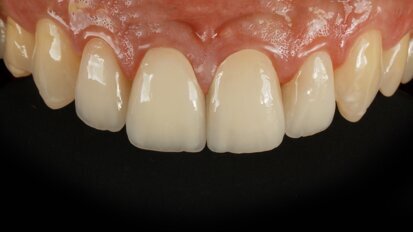
Full-arch rehabilitation with lithium disilicate secondary crowns luted on to the primary framework

Dealing with implant restoration is challenging, and this process would be impossible if we could not communicate freely between the clinic and laboratory. ...

Speichern

Advancements in adhesive dentistry: A case report

The number of universal adhesives being offered by the dental industry nowadays can make it difficult to decide whether it may be worth switching to another...

Speichern

Countdown begins for GC’s fifth International Dental Symposium

TOKYO, Japan: Japanese chemists developed the first dental cement in 1921, and the milestone led to the founding of what is now one of the biggest ...

Speichern

“CAD/CAM materials play a key role in our research because they are the future”

Differences within material classes in CAD/CAM ceramics are not obvious at first glance. A knowledge of materials science is required in order to classify ...

Speichern

First MIH network meeting: Dental academics and practitioners join forces to tackle MIH

LEUVEN, Belgium: The prevalence of molar incisor hypomineralisation (MIH) in paediatric patients around the world is currently estimated at about 13%. Yet, ...

Speichern

The stamp technique: Quick and effective restoration with glass hybrids

Glass hybrid restoratives offer a unique combination of advantages in dentistry. They are biocompatible and require neither the application of bonding ...

Speichern

Free webinar puts pre-crystallised glass-ceramics in focus

In order to avoid the shortcomings of conventional metal-based materials and to create natural-looking dental restorations, lithium disilicate has become ...

Speichern

Towards simplification in dentistry―GC to host online event on new treatment protocols

LEUVEN, Belgium: GC is committed to giving dental professionals easy access to educational resources. After a number of successful online symposia, the ...

Speichern

GC America to present free dental symposium on emulating nature

Alsip, Ill., U.S.: GC America will be hosting a one-day virtual symposium on Oct. 29 as part of the many events accompanying GC’s centennial celebrations....

Speichern

Big turnout for CEREC Day 2021

DÜSSELDORF, Germany: On 24 and 25 September, another successful CEREC Day was hosted in Düsseldorf. The event, which has become a prominent symposium for ...

Speichern

GC readies itself for fifth International Dental Symposium

TOKYO, Japan: On 11 February, GC Corp. celebrated its 100th anniversary. As part of the continued celebrations surrounding this milestone, the company is ...

Speichern

Brazilian IADR Centennial Award named in honor of GC chairman Makoto Nakao

SÃO PAULO, Brazil: This year, the Brazilian division of the International Association for Dental Research (IADR) honored the chairman and former president ...

Speichern

Interview with Dr Andreas Kurbad on CEREC Day 2021

Dr Andreas Kurbad established his private practice in Viersen in Germany in 1990 and started using CEREC in 1994. He has published more than 100 papers on ...

Speichern

GC America to present live, biofilm-focused seminar

ALSIP, Ill., U.S.: In celebration of GC’s 100th anniversary, GC America will host a one-day virtual symposium on combating biofilm and oral disease on ...

Speichern
advertisement
advertisement